服務項目 》割雙眼皮
診所精製之割雙眼皮影片之精簡介紹如下。閱讀本文前可以先看影片,即可快速了解什麼是割雙眼皮。
雙眼皮是整形外科最常做的手術,一個小手術花費少就可以讓妳的眼睛由「無神呆滯」變成明亮動人。
人的眼睛各自不同,千變萬化,雙眼皮手術因此也必須「量身訂做」。
雙眼皮手術籠統地可以分為「縫雙眼皮」及「割雙眼皮」二種。
縫雙眼皮(請另外參考網位上縫雙眼皮專文)手術時只用到縫線,不動到手術刀。
優點:
- 術後外表只有針孔而已(以後看不到疤痕)。
- 恢復快。如果是眼皮薄的病人術後就已經很自然,做完手術後就去逛街的大有人在。
- 縫雙眼皮手術前比較沒有做賭注的感覺,因為它是可逆的,如果病人真的不喜歡它(這種情況很少),可以拆掉縫線,恢復原來的樣子。雙眼皮高度也可以再調整(調整雙眼皮縫線的位置)。
鍾醫師會依多年來做雙眼皮的經驗,在看診時給病人建議適合病人的手術方式。
割雙眼皮手術時須在眼皮做切開,所以可以同時做眼部抽脂。
割雙眼皮後的雙眼皮形成是靠組織沾黏,會比縫雙眼皮只靠縫線來得牢靠。
雖然恢復時間較長,但對於以下幾種情況必須要考慮用割的方式:
(一)眼皮厚:可以同時將脂肪拿掉,改善「泡泡眼」的問題。
(二)眼瞼下垂:什麼是眼瞼?請看下面文章介紹。眼瞼下垂時須做提瞼肌手術,放大眼瞼。
(三)凹陷眼睛:建議必須同時做脂肪移植,不然雙眼皮做不出來。
(四)老化性眼皮:對於上眼皮鬆弛,下垂的病人必須同時切除部份上眼皮。有愈來愈多的男性病人,希望眼睛看起來有精神,來做雙眼皮手術。
割雙眼皮示意圖

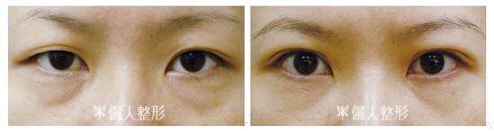
案例介紹 以下是實際參考案例

左圖►為割雙眼皮(加眼皮抽脂)前,右圖►為術後。

左圖►是割雙眼皮前,右圖►是術後三年的追踨照片。

左圖►是術前,右圖►是割雙眼皮手術加眼瞼放大術後照片。

左圖►是術前,右圖►是割雙眼皮手術加眼瞼放大術後照片,眼睛變眼亮。

左圖►為男性割雙眼皮前,右圖►為術後。
某些人會怕割雙眼皮的原因之一是怕留下疤痕,
割雙眼皮的疤大部份就像天生就有雙眼皮的人一樣,看起來就像一條皺折,
如下二圖例為割雙眼皮術後追踨照片。

中間法 或有些醫師稱為「小切口雙眼皮法」,
方法是做一個小切口(一公分左右)做眼部抽脂,最後加上縫雙眼皮的縫線做出雙眼皮。
這方法的好處是恢復介於縫與割之間(不會像割雙眼皮那麼腫,恢復比較快),但雙眼皮掉的機會也介於割與縫之間。
-
不少人會擔心割雙眼皮後會恢復很久。以下是割雙眼皮恢復的典型例子。
術後當天會因為麻藥關係會較腫,前二至三天會腫起來,第四天開始消腫。
一週後畫上眼影已自然很多,二週後畫上淡妝看起來很OK,最後一張是術後二個月的照片。

左圖:術後當天。右圖:術後一週。

左圖:術後二週。右圖:術後二個月。
另一個例子:

左圖:術後當天。右圖:術後三天。

左圖:術後一週。右圖:術後二週。
以下是很多人關心,割雙眼皮術後的疤如何。如下圖,疤是看不太出來的。
以下小姐決定先用縫的(下左圖),因為有掉的關係改用割的方式(下中圖),
下右圖是術後五天來拆線時的照片。她覺得是割的比縫的恢復快。

左圖:縫雙眼皮術後馬上。中間:割雙眼皮術後馬上。右圖:割雙眼皮術後五天。 -
東方人在眼頭部位(又叫內眥)會有嚴重程度一不的「蒙古褶」,明顯的蒙古褶會讓眼睛看起來很開,或是雙眼皮在內側二分之一以內變內雙。做完開眼頭手術後,會讓眼睛看起來較長,眼睛不會隔那麼遠,內側眼皮的內雙也會變得較外雙( 如下圖例)。



上圖例在做完開眼頭手術後眼頭往內移動,眼頭內的紅色小肉珠(箭頭處)就可以露出來。
雙眼皮在眼頭部位可以分為開放式或是密合式二種(如下圖),在縫雙眼皮處另有專文討論眼頭開放或閉合問題。開放式眼頭比密合式,眼睛看起來較長較大,目前大部份女性所喜愛。某些人只要做較高的雙眼皮即可得到開合式眼頭的效果,但某些人須加做開眼頭手術才可以做到開放式眼頭。
雙眼皮手術(縫或割雙眼皮)可以與眼頭手術一起做,或是先做雙眼皮手術後再做眼頭手術,下圖例做完縫雙眼皮後再做眼頭,可以看出眼頭手術可以改變雙眼皮內側的弧度,由閉合變開放,眼睛變更明亮。下圖左至右是術前,縫雙眼皮後及開眼頭手術後。

下圖例左至右是術前,縫雙眼皮後,及開眼頭後。術前兩眼距較遠,做完這兩種手術後眼睛變明亮,眼距變近,眼頭內側小肉珠可以露出來。

下圖例是縫雙眼皮加眼頭手術的術前後比較,可以明顯看到雙眼皮手術加眼頭手術將眼睛放大了。

下圖例是割雙眼皮加開眼頭的術前後照片比較。

其他割雙眼皮加開眼頭案例介紹如下:









開眼頭手術傷口沿革: 手術設計的傷口設計有以下三種。左側二種的疤較長,目前已不使用。目前以做右側的小V傷口為主。
-
有不少人有這方面的困擾,內雙或單眼皮的那隻眼睛看起來就會比另一隻外雙的眼睛小。
手術矯正的方法有:
(1)如果病人的眼皮薄時可以考慮縫單眼(做內雙或單眼皮側的眼睛,讓它的雙眼皮高度與另一側外雙的眼睛相同)。
(2)如果病人是泡泡眼時要考慮割雙眼。
如果病人選擇做割單眼(只割單眼或內雙那一側眼皮)時可能會有的問題:
(1)手術的那隻眼睛在恢復期中會比沒有手術的那隻眼睛雙眼皮較高(因為腫的關係),一直到腫慢慢消掉,雙眼皮會愈來愈接近。
(2)一側雙眼皮是手術做出來的,一側是先天的,或許恢復以後會有一些差異。泡泡眼的病人如果縫單眼可能會有雙眼皮不見(掉了)的可能。
下左圖是大小眼術前,右圖是大小眼調整術後照。

下圖的二側雙眼皮看起來不同,左眼雙眼皮較右眼高,左側有挑眉現象(要細心檢視才可以看得出來),如將左側的眉毛在張眼時不讓它挑上去時,就可以看出左眼有眼瞼下垂現象。下右圖是做完割雙眼皮合併二眼提瞼後照片。二眼對稱很多,二眼也有精神很多。她術後非常滿意。
-
年輕的病人會因為眼皮脂肪太多的原因造成眼尾下垂,割雙眼皮時拿掉一些眼部脂肪可以改善眼尾下垂。
中年以後因為老化過程中會有眉尾下垂的現象,眼尾看起來也會跟著下垂。
輕微下垂時可以考慮打一點肉毒桿菌素在眉尾的位置,有提眉尾的作用。
如果眼尾下垂已經有些明顯時要考慮:
(1)上眼皮整形手術:將下垂的外側上眼皮做切除。
(2)前額拉皮手術:將眉毛往上提(網站上在顏面整形-拉皮裏有專文介紹)。
以下圖例病人同時有眉尾下垂及眼皮下垂的現象,最理想的作法是先做內視鏡前額拉皮手術(將眉毛往上提),
恢復之後再做上眼皮整形手術(將下垂的上眼皮加以切除),就可以得到漂亮的結果。
在門診時醫師會與病人討論做那一種手術較適合。


上圖例先做前額拉皮手術(提眉手術),之後她仍覺得眼尾下垂想做更多改善,
左下圖是做完上眼皮整形後照片。眉毛位置提高了,眼皮下垂也改善了。
如果只是輕微眼尾下垂,將眼尾的皮膚做部份切除的話可以改善眼尾下垂。

上圖示是將眼尾下垂部位之上眼皮做切除的記號圖。眼尾部位因下垂較多,切除也因此較多。

上圖例是將眼尾下垂部位上眼皮做切除之術前後比較。 -
診所精製之眼皮下垂手術影片之精簡介紹如下。閱讀本文前可以先看影片,即可快速了解什麼是眼皮下垂手術。
因眼皮老化造成眼皮下垂的處理方式是:
(1) 用割雙眼皮方式加高雙眼皮
(2) 合併將眼尾下垂皮膚切除(我們稱這種手術為「上眼皮整形」)
老化眼皮割雙眼皮的做法與年輕人割雙眼皮的做法不同。
宜慎選醫師,不然術後容易有吊吊眼現象。
如果雙眼皮不明顯,可以將雙眼皮做高,同時將眼尾下垂皮膚做切除,就可以改善眼尾下垂。

左圖為老化性眼皮整形前,右圖為上眼皮整形術後(加雙眼皮高度加高及將下垂眼尾皮膚切除)。

上圖例是七十歲女性做上眼皮整形前後的比較照片。
以下更多案例:














-
眼皮下垂的另一種手術方式是做所謂的眉切手術,也就是說將眉毛下方或上方的皮膚加以切除掉,
皮膚縫合後就有將下垂的眼皮往上提的效果(眉切是小提眉手術。前額拉皮為大提眉手術)。
傷口加以好好縫合後,疤痕看不太出來。特別適合有紋眉,又有眼皮下垂的病人身上,疤痕藏在紋眉上或下方,看不出來。
下圖例將眉毛上方的皮膚加以切除,術後眉毛有上提的效果,眼皮下垂也得到改善,疤痕看不太出來。

下圖例有明顯眉毛下垂及眼尾下垂,右圖是做完上眉切及將部份眼尾皮膚同時切除後的術後照片。
下垂得到改善,手術後的疤痕不明顯。

下圖例在紋眉下方有一道繡眉的痕跡,病人的眼皮有明顯下垂,
將眉毛下方的皮膚加以切除,病人不須要的繡眉也一併被切除掉,縫合後下垂的眼皮得到明顯改善。

其他下眉切的案例,可以看出眼尾下垂得到改善。






-
如上所述,泡泡眼的人會建議選擇用割雙眼皮的方式,在手術時會將一部份眼內脂肪做摘除。
在手術前會一直強調泡泡眼的人術後不容易有大外雙眼皮,及泡泡眼會有部份改善,但不會因此眼皮變薄。
下左圖是術前,右圖是術後。

另一個造成泡泡眼的原因是眉壓眼,也就是說眉與眼的距離很近。
如果只是做割雙眼皮手術的話,術後雙眼皮是內雙,術前後比較不會有大差別。
會建議先做前額拉皮手術,先將眉提起來,爾後再做雙眼皮的話,整體效果較好。
如下圖例,左圖是術前,他才18歲;中圖是做完前額拉皮後照片,眼睛變大了,眉毛也較高 ;右圖是縫雙眼皮術後照。
-
凹陷常是老化的現象,某一部份年輕人因為遺傳的關係在年輕時就已出現凹陷。
凹陷發生時人看起來較蒼老,上眼皮會出現三眼皮或是眉骨的下緣看得很清楚。改善的方法有:
(1)如果病人沒有雙眼皮,可以割雙眼皮同時做補脂(放入一整塊脂肪或打入自體脂肪)。如下圖例。

下圖病人的上眼皮有凹陷現象(特別是右眼),在做完上眼皮整形(同時取腋下脂肪放入凹陷處)後一年八個月,凹陷得到明顯改善。

其他的參考病例:



(2)如果病人已經有雙眼皮,可以考慮做自體脂肪注射,將抽脂(腹部或大腿等)出來的脂肪,用注射針打入眼皮。如下圖例。

下圖病例上眼皮有凹陷現象(右眼較明顯),病人在做完注射補脂後一年(右圖),凹陷明顯改善,補上去的脂肪也沒有消失現象。

除了脂肪外的另一種遻擇是使用玻尿酸做凹陷填補,如下圖。

另一個會造成眼皮凹陷的原因:眼瞼下垂(下文即是眼瞼下垂介紹)。
這時應該做的是提瞼肌手術(如下圖例:左為術前;右為術後),而不是補入脂肪。
補入脂肪會讓眼皮更重,眼瞼更下垂,眼睛更沒神。

下圖例左側是術前照片,眼睛凹陷且無神。右圖是做完內開提瞼術後(以下會有說明)照片。眼睛有神且凹陷改善。
-
診所精製之眼瞼下垂提瞼手術影片之精簡介紹如下。閱讀本文前可以先看影片,即可快速了解什麼是眼瞼下垂提瞼手術。
所謂的眼瞼是指上眼皮的下緣,睫毛的附著位置。眼瞼下垂是指上眼皮的位置變低,較多的黑眼珠被蓋住(如下圖左眼),眼睛看起來像是快睡著的樣子。

如何提高眼瞼呢?方法是有:
(1)外開:割雙眼皮手術時,同時將眼瞼縫到提瞼肌的高點(位在外側,請參考以下解剖圖),就可以上提眼瞼。
(2)內開(又名:內開提瞼術、穆勤氏肌手術、無痕眼瞼放大術、無痕提瞼術):將眼皮外翻,再將穆勒氏肌(位在內側)及結膜剪掉一部份再做縫合就可以上提眼瞼。達到放大眼睛的效果。
內開與外開的差別:
做外開提瞼時同時做雙眼皮,但雙眼皮高度與提瞼的程度有關,手術前可能無法預側以後雙眼皮的形狀高度。
做內開提瞼手術時未做雙眼皮手術,可以等眼瞼穩定後(約三個月後)如果需要的話再做縫或割雙眼皮,這時候可以好好設計雙眼皮的形狀高度。

有那些情況下要考慮做提瞼手術:
(1)大小眼:小眼如果是眼瞼下垂所造成的話,小眼就要考慮做提瞼手術。下圖例右側眼瞼下垂,明顯大小眼。
下右圖是做完右眼內開提瞼手術四個月做照片,兩眼看來接近多了。

(2)抬頭紋明顯:當眼睛張不開時(提瞼肌無力),抬頭肌肉會出力(抬頭紋變明顯)讓眼睛可以睜大一點。
下圖例:左圖抬頭紋明顯,他院醫師為她打肉毒桿菌素;
中圖是來本院時照片,雖然抬頭紋改善了,大小眼就看出來了(右眼小,因右眼眼瞼下垂);
下右圖是在本院做內開提瞼,後再做縫雙眼皮的照片。她再也沒有出現抬頭紋。

政壇上有一位兩眼眼瞼下垂,抬頭紋很明顯已到眉毛被提高高的例子是邱毅。

(3)眼窩凹陷:在上一段有介紹眼窩凹陷處理,如凹陷同時左眼瞼下垂問題的話,要先處理眼瞼下垂(做提瞼手術)。
如只是做自體脂肪填補的話,雖凹陷改善,但加進去的脂肪會讓眼皮更重,眼瞼會更下垂。
如下圖例:左圖是術前;右圖是眼皮脂肪注射後,眼皮凹陷改善,但眼瞼更下垂。

下圖例術前兩眼眼瞼下垂,眼睛凹陷很厲害。提瞼手術是必要的,這手術同時可以改善眼瞼下垂及眼窩凹陷。
眼瞼手術會讓雙眼皮變低,她選擇眼瞼放大內開手術與縫雙眼皮手術一起做。
下左圖是術前;下右圖是術後五天照片,眼睛變有神漂亮多了。

(4)割雙眼皮重整:曾割過雙眼皮導致雙眼皮過高時,做雙眼皮重整手術時,常常必須做提瞼手術。
下圖例在十年中曾做過數次割雙眼皮手術。來看診時有雙眼皮太高及眼瞼下垂問題。
下右圖是做完內開提瞼後照片,眼睛看來自然多了。

割雙眼皮合併提瞼案例介紹:
下圖例左眼有眼瞼下垂現象,看起來左眼較右眼小。做完提瞼肌手術後兩眼變對稱了。

下左圖有左眼眼瞼下垂現象(左眼較小),右圖是做完提瞼肌手術後的照片。

下左圖為割雙眼皮加左眼眼瞼放大前,右圖為術後。

下左圖為割雙眼皮加右眼眼瞼放大前,右圖為術後。

下六圖例為雙眼做完提瞼肌手術前後比較,眼睛變大很多。






下圖例是做完割雙眼皮(合併做提瞼肌手術),及開眼頭手術的術前後比較。

兩眼不對稱的原因之一是單側有眼瞼下垂現象如下:左圖,左眼眼珠露出較少,眼睛看起來較小。
做完左側提瞼肌手術後就可以得到對稱眼睛。

下圖例有明顯大小眼,明顯右眼眼瞼下垂,經手術後得到明顯改善。


-
下圖例是一個表現內開眼瞼例子。她在他院做割雙眼皮手術,雙眼皮是變外雙了,但眼睛看起來無神。
右圖是在本院做完內開眼瞼放大手術後二週照片,眼瞼提起來後,眼睛變有神了。

做完內開提瞼手術後眼睛變大了,但雙眼皮會變低。
她後來再到本院來用縫雙眼皮方式加高雙眼皮,下圖是縫雙眼皮加高雙眼皮術後照。

有那些情況可以考慮做內開提瞼手術?
(1)大小眼的原因是小眼側眼瞼下垂。
下圖例因右眼眼瞼下垂,右眼看來無神,較左眼小。
下左圖是右眼內開提瞼術後四個月的照片。兩眼相近多了。

(2)兩眼眼瞼下垂。表現是雙眼皮淺,或是雙眼皮過高等。
下圖例眼無神,雙眼皮太淺,眼皮凹陷,中圖是術後立即照,下左圖是術後二個月後照。眼變有神漂亮。

(3)須做提瞼手術,也希望可以達成期望的雙眼皮高度者。可以考慮先做內開提瞼再做雙眼皮手術(間隔最少三個月)。
下圖例右眼有眼瞼下垂現象,左圖是術前;中圖是右眼做完眼瞼放大內開手術術後照片,右眼雙眼皮會因眼瞼放大手術變低。
之後她選擇做兩眼縫雙眼皮手術,調高兩眼雙眼皮高度(右圖)。內開提瞼及縫雙眼皮手術都是無疤痕手術。

下左圖兩眼看起來無神,都有眼瞼下垂現象。中圖是做完內開提瞼後之照片。右圖是做完縫雙眼皮手術後之照片,她非常喜歡她現在眼睛。
兩種手術都是無疤痕手術。而且在做雙眼皮手術時可以與醫師討論妳所希望的雙眼皮高度。

下左圖是術前照片,眼睛無神並且有雙眼皮多折現象;下右圖是做完割雙眼皮及眼瞼放大內開手術後的照片,眼睛變大很多。

(4)眼凹陷。提瞼手術可以改善眼凹。但如果是眼凹補脂的話,雖可以改善眼凹,但脂肪的重量會壓在眼瞼上,讓眼睛更張不開。
下左圖是術前,下右圖是術後立即照。

下左圖是術後六天照,下右圖是術後六個月照。眼皮雖仍凹陷,但她已對現在樣子十份滿意。

(5)同時有眼瞼下垂及眼皮下垂,眼凹陷等問題時,會建議先做內開提瞼,再第二階段眼皮下垂及凹陷問題的處理會較好。
下圖例有眼瞼下垂(眼張不開),右眼凹陷,左眼眼皮下垂等問題。下中圖是做完內開提瞼後照片,眼睛變大了。
下左圖是右眼補,左眼下垂眼皮皮膚切除後照片(二階段手術) ,得到好看的眼睛。

下左圖案例有右眼小,右眼凹陷,左眼眼皮下垂等問題。中圖是先做內開提瞼的術後照。左圖是再第二階段做上眼皮整形後照片。前後眼形已改善很多。

(6)上眼皮重整手術的應用。如之前已很多次上眼皮手術,再有眼瞼下垂問題的話,內開提瞼因不在眼皮外手術(是在眼皮內手術),手術容易的多。
下圖例上眼皮曾經歷多次在他院手術,現在眼瞼下垂,雙眼皮過高等問題,下右圖是內開眼瞼術後一個月照片。眼睛有神多了。

曾多次手術的雙眼皮,如有局部眼瞼下垂,也可以做內眼提瞼加以修正。
下圖例在他院做雙眼皮手術後,內側有眼瞼下垂現象,雙眼皮變寬,不順。下右圖是做完內開提瞼後照片,雙眼皮變順了。
-
割雙眼皮手術要慎選醫師,如果術後結果不如意(最少得與上次手術間隔半年),就得重新手術。
如下圖例割的太高,睫毛外翻,疤明顯,就得手術將雙眼皮放低。

他院手術後雙眼皮不平均,右眼瞼下垂,下右圖是重整手術後。

下圖例在他院術後不對稱,右圖是做完左眼重整手術後照片。如下圖。

他院手術後有凹陷現象,也須要做重整手術。如下圖。


雙眼皮太低,不平整也要做重整手術,如下圖。

雙眼皮不平順,也須要做重整手術。如下圖。

下圖,他院術後雙眼皮不對稱,右眼有眼瞼下垂現象,右圖是重整手術後。






-
病人同時有上眼皮下垂及眼袋問題時,同時手術上眼皮及眼袋,
可以在一次的恢復時間,得到最好的術後效果。

上圖病例有上眼皮下垂及眼袋問題,做完上下眼皮整形後(右圖是術後八個月的照片),人看起來最少年輕十歲。

上圖病例有上眼皮下垂及嚴重的眼袋問題,做完上下眼皮整形後(右圖是術後二年的照片),人變漂亮年輕。

上圖病例有上眼皮凹陷及眼袋問題,做完上眼皮補脂,拿掉下垂上眼皮及眼袋手術後(右圖是半年後照片),得到病人滿意結果。

上圖病例有嚴重眼袋及凸眼及上眼皮有多重眼皮等問題,做完眼袋手術及上眼皮補脂後,眼袋及凸眼問題得到明顯改善。右圖為術後八個月的照片。

上圖病例的上眼皮較泡,同時有眼袋問題,做完上眼皮整形(抽脂及拿掉下垂上眼皮)及眼袋手術後(右圖為術後二年半的照片),病人非常滿意術後結果。

上圖病例較年輕(23歲)但上眼皮較泡同時有眼袋問題,做完割雙眼皮手術(含上眼皮抽脂)及眼袋手術(右圖為術後四個月的照片),術後眼睛變得有精神。
其他案例:











-
整形已不是女生的專利了,有愈來愈多的男性也希望有明亮的眼睛。 看起來愛睏的眼睛在求職及情場上都比較吃虧。 但相對於女性,男性的眉骨較高,眉的位置較低,眼皮會較泡。 在這種情況上,縫雙眼皮掉的機會會比較高。在看診時醫師會幫你評估,給你建議。
相對而言,割雙眼皮恢復會較縫雙眼皮慢,但雙眼皮掉的機會較低。另外,因男生割的位置相對較女生低,恢復會較快,如以下案例。
男性割雙眼皮實際案例

左圖►為割雙眼皮前,中圖►為術後當下,右圖►為術後半年。

左圖►為割雙眼皮前,中圖►為術後當下,右圖►為術後半年。

左圖►為割雙眼皮前,中圖►為術後當下,右圖►為術後五年。

左圖►為割雙眼皮前,中圖►為術後當下,右圖►為術後半年。

左圖►為割雙眼皮前,中圖►為術後一周,右圖►為術後一年。

左圖►為他院割雙眼皮後,中圖►為本院重整後一周,右圖►為重整後五個月。

左圖►為割雙眼皮前,中圖►為術後九天,右圖►為術後半年。
如果模擬有雙眼皮後,眼仍然看起來無神的原因常常是眼瞼下垂,此時就必須做提瞼手術。
以下為男性割雙眼皮合併提瞼肌手術

左圖►為手術前,中圖►為術後四天,右圖►為術後一年。

左圖►為手術前,中圖►為術後當下,右圖►為術後十個月。
下圖因左眼眼瞼下垂,造成大小眼,經割雙眼皮手術傷口做提瞼肌手術後,二眼平均多了。

左圖►為手術前(左眼提瞼),中圖►為術後當下,右圖►為術後三個月。
另外一個男性來看上眼皮的原因是老化造成上眼皮皮膚下垂,三角眼,甚至遮住一部份視野,眼無神。手術的處理方式是:
(1) 用割雙眼皮方式加高雙眼皮。(一般男性會做內雙)
(2) 合併將眼尾下垂皮膚(我們稱這種手術為「上眼皮整形」)
以下為男性上眼皮整形案例

左圖►為上眼皮整形前,中圖►為術後當下,右圖►為術後一年。

左圖►為上眼皮整形前,中圖►為術後三天,右圖►為術後七個月。

左圖►為上眼皮整形前,中圖►為術後三天,右圖►為術後三年。

左圖►為上眼皮整形前,中圖►為術後三天,右圖►為術後八個月。
-
- 傷口痛才需服用止痛藥(白色藥丸,成分與普拿疼相同acetaminophen 500mg)不傷胃,一次一粒,間隔4-6小時一粒。
- 早晚各一次將眼藥膏(成分為氯四環素Chlorotetracycline)薄薄塗抹在傷口處。
- 術後請勿低頭或用力做事,以免血壓上升或眼瞼充血而引發血腫。
- 手術後當天返家,儘量坐起來,眼睛保持張開(至少6小時以上),以讓雙眼定型,手術當天不要冰敷。術後第二天可以用冰敷減少水腫及疼痛,72小時之後改成溫敷。術後前二三天可能因腫脹造成複視或視力模糊。腫脹期勿食辛辣等刺激性食物,勿抽菸或吸二手菸,生活作息盡量正常,以免傷口癒合不好。睡覺時稍有點坐起來姿勢的話可以減少眼皮水腫。
- 眼皮周圍多少會有瘀青產生,在一至兩週內自然退去。(温敷可以加速瘀青消退)。
* 冰温敷時間以敷三十分鐘,休息三十分鐘為原則。如腫脹較厲害的話,建議多做冰温敷。 - 傷口盡量保持乾燥,拆線後傷口癒合後才可以上粧、碰水。
- 傷口癒合後(約一週)才可以戴隱形眼鏡。依預約時間回診或拆線。
- 眼睛相當疼痛或眼皮水腫厲害(手術最嚴重併發症是眼內血腫,甚至會造成失明),請立刻與我們聯絡。
- 有腋下取脂者,紗布包紮要放24小時後才可拿掉,之後可正常洗澡,傷口塗優碘並保持乾燥直至拆線。
- 手術縫線有縫兩層(內、外層),外層依指定時間拆線,內層不需額外拆線,但如術後有發現眼皮上有黑點(內層線跑出),自行夾掉即可。如無法處理者可預約到院處理。
-
以下是鍾醫師受訪文章
1)眼窩凹陷該怎麼處理?專業醫師談提眼瞼肌手術vs填補療程
https://lrclinic.pixnet.net/blog/post/55935430-%e7%9c%bc%e7%aa%a9%e5%87%b9%e9%99%b7%e8%a9%b2%e6%80%8e%e9%ba%bc%e8%99%95%e7%90%86%3f%e5%b0%88%e6%a5%ad%e9%86%ab%e5%b8%ab%e8%ab%87%e6%8f%90%e7%9c%bc%e7%9e%bc%e8%82%8c%e6%89%8b2)做雙眼皮手術如何決定適合自己的雙眼皮高度?專業醫師談模擬和設計雙眼皮手術時的重點
https://lrclinic.pixnet.net/blog/post/52191217%e5%81%9a%e9%9b%99%e7%9c%bc%e7%9a%ae%e6%89%8b%e8%a1%93%e5%a6%82%e4%bd%95%e6%b1%ba%e5%ae%9a%e9%81%a9%e5%90%88%e8%87%aa%e5%b7%b1%e7%9a%84%e9%9b%99%e7%9c%bc%e7%9a%ae%e9%ab%98%e5%ba%a63)擺脫蒙古摺問題!專業醫師談開眼頭手術
https://lrclinic.pixnet.net/blog/post/50778799-%e6%93%ba%e8%84%ab%e8%92%99%e5%8f%a4%e6%91%ba%e5%95%8f%e9%a1%8c%ef%bc%81%e5%b0%88%e6%a5%ad%e9%86%ab%e5%b8%ab%e8%ab%87%e9%96%8b%e7%9c%bc%e9%a0%ad%e6%89%8b%e8%a1%934)做雙眼皮手術一定會留下疤痕嗎?有蟹足腫問題的人可以做嗎?
https://lrclinic.pixnet.net/blog/post/47798026-%e5%81%9a%e9%9b%99%e7%9c%bc%e7%9a%ae%e6%89%8b%e8%a1%93%e4%b8%80%e5%ae%9a%e6%9c%83%e7%95%99%e4%b8%8b%e7%96%a4%e7%97%95%e5%97%8e%3f%e6%9c%89%e8%9f%b9%e8%b6%b3%e8%85%ab%e5%95%8f5)疫情來襲仍可安心變美! 儷人整形外科診所啟動防疫看診措施
https://lrclinic.pixnet.net/blog/post/41589868-%e7%96%ab%e6%83%85%e4%be%86%e8%a5%b2%e4%bb%8d%e5%8f%af%e5%ae%89%e5%bf%83%e8%ae%8a%e7%be%8e%21-%e5%84%b7%e4%ba%ba%e6%95%b4%e5%bd%a2%e5%a4%96%e7%a7%91%e8%a8%ba%e6%89%80%e5%95%9f6)雙眼皮手術失敗怎麼辦?專業醫師談雙眼皮重修手術再現迷人雙眸
https://lrclinic.pixnet.net/blog/post/41589697-%e9%9b%99%e7%9c%bc%e7%9a%ae%e6%89%8b%e8%a1%93%e5%a4%b1%e6%95%97%e6%80%8e%e9%ba%bc%e8%be%a6%3f%e5%b0%88%e6%a5%ad%e9%86%ab%e5%b8%ab%e8%ab%87%e9%9b%99%e7%9c%bc%e7%9a%ae%e9%87%8d7)眼窩凹陷讓雙眼皮不對稱怎麼辦? 儷人整形外科診所鍾立人醫師談改善方式
https://lrclinic.pixnet.net/blog/post/38684227-%e7%9c%bc%e7%aa%a9%e5%87%b9%e9%99%b7%e8%ae%93%e9%9b%99%e7%9c%bc%e7%9a%ae%e4%b8%8d%e5%b0%8d%e7%a8%b1%e6%80%8e%e9%ba%bc%e8%be%a6%3f-%e5%84%b7%e4%ba%ba%e6%95%b4%e5%bd%a2%e5%a4%968)雙眼皮和眼袋可以一次解決嗎? 專業醫師談上下眼皮手術成功的眉角
https://lrclinic.pixnet.net/blog/post/38684173-%e9%9b%99%e7%9c%bc%e7%9a%ae%e5%92%8c%e7%9c%bc%e8%a2%8b%e5%8f%af%e4%bb%a5%e4%b8%80%e6%ac%a1%e8%a7%a3%e6%b1%ba%e5%97%8e%3f-%e5%b0%88%e6%a5%ad%e9%86%ab%e5%b8%ab%e8%ab%87%e4%b8%8a9)重拾年輕雙眸儷人整形外科診所鍾立人醫師談老化上眼皮的處理方式
https://lrclinic.pixnet.net/blog/post/38684119-%e9%87%8d%e6%8b%be%e5%b9%b4%e8%bc%95%e9%9b%99%e7%9c%b8%e5%84%b7%e4%ba%ba%e6%95%b4%e5%bd%a2%e5%a4%96%e7%a7%91%e8%a8%ba%e6%89%80%e9%8d%be%e7%ab%8b%e4%ba%ba%e9%86%ab%e5%b8%ab%e8%ab%8710)眼瞼下置真的能放大眼睛嗎? 儷人診所鍾立人醫師談眼神放大的手術關鍵
https://lrclinic.pixnet.net/blog/post/2603585911)兩眼無神好困擾儷人診所鍾立人醫師談眼瞼下垂和眼皮下垂的改善方式
https://lrclinic.pixnet.net/blog/post/27803310-%e5%85%a9%e7%9c%bc%e7%84%a1%e7%a5%9e%e5%a5%bd%e5%9b%b0%e6%93%be%e5%84%b7%e4%ba%ba%e8%a8%ba%e6%89%80%e9%8d%be%e7%ab%8b%e4%ba%ba%e9%86%ab%e5%b8%ab%e8%ab%87%e7%9c%bc%e7%9e%bc%e4%b8%8b12)儷人診所鍾立人醫師談拯救下垂三角眼及眼距過寬的秘密
https://lrclinic.pixnet.net/blog/post/27803360-%e5%84%b7%e4%ba%ba%e8%a8%ba%e6%89%80%e9%8d%be%e7%ab%8b%e4%ba%ba%e9%86%ab%e5%b8%ab%e8%ab%87%e6%8b%af%e6%95%91%e4%b8%8b%e5%9e%82%e4%b8%89%e8%a7%92%e7%9c%bc%e5%8f%8a%e7%9c%bc%e8%b7%9d13)儷人診所鍾立人醫師談提眉手術改善眼皮下垂 上臉老態問題
https://lrclinic.pixnet.net/blog/post/27803888-%e5%84%b7%e4%ba%ba%e8%a8%ba%e6%89%80%e9%8d%be%e7%ab%8b%e4%ba%ba%e9%86%ab%e5%b8%ab%e8%ab%87%e6%8f%90%e7%9c%89%e6%89%8b%e8%a1%93%e6%94%b9%e5%96%84%e7%9c%bc%e7%9a%ae%e4%b8%8b%e5%9e%8214)如何趕走惱人的眼窩凹陷儷人整形外科診所鍾立人醫師談眼窩凹陷的改善方式
https://lrclinic.pixnet.net/blog/post/27803968-%e5%a6%82%e4%bd%95%e8%b6%95%e8%b5%b0%e6%83%b1%e4%ba%ba%e7%9a%84%e7%9c%bc%e7%aa%a9%e5%87%b9%e9%99%b7%e5%84%b7%e4%ba%ba%e6%95%b4%e5%bd%a2%e5%a4%96%e7%a7%91%e8%a8%ba%e6%89%80%e9%8d%be15)儷人整形外科診所鍾立人醫師談擺脫兩眼不對稱的眼整手術
https://lrclinic.pixnet.net/blog/post/27804060-%e5%84%b7%e4%ba%ba%e6%95%b4%e5%bd%a2%e5%a4%96%e7%a7%91%e8%a8%ba%e6%89%80%e9%8d%be%e7%ab%8b%e4%ba%ba%e9%86%ab%e5%b8%ab%e8%ab%87%e6%93%ba%e8%84%ab%e5%85%a9%e7%9c%bc%e4%b8%8d%e5%b0%8d16)男性雙眼皮手術諮詢夯儷人整形外科診所鍾立人醫師談男性手術重點
https://lrclinic.pixnet.net/blog/category/43374217)眼神放大的秘密-儷人整形外科診所鍾立人醫師談開放性雙眼皮及開眼頭手術
https://lrclinic.pixnet.net/blog/post/2603346218)割雙眼皮手術時一定要抽脂嗎? 儷人整形外科診所鍾立人醫師談民眾對眼皮抽脂的迷思
https://lrclinic.pixnet.net/blog/post/26033960-%e5%89%b2%e9%9b%99%e7%9c%bc%e7%9a%ae%e6%89%8b%e8%a1%93%e6%99%82%e4%b8%80%e5%ae%9a%e8%a6%81%e6%8a%bd%e8%84%82%e5%97%8e%3f-%e5%84%b7%e4%ba%ba%e6%95%b4%e5%bd%a2%e5%a4%96%e7%a7%9119)雙眼皮手術容易留下疤痕? 儷人診所鍾立人醫師談避免如何處理及避免
https://lrclinic.pixnet.net/blog/post/26034458-%e9%9b%99%e7%9c%bc%e7%9a%ae%e6%89%8b%e8%a1%93%e5%ae%b9%e6%98%93%e7%95%99%e4%b8%8b%e7%96%a4%e7%97%95%3f-%e5%84%b7%e4%ba%ba%e8%a8%ba%e6%89%80%e9%8d%be%e7%ab%8b%e4%ba%ba%e9%86%ab20)儷人診所鍾立人醫師專業雙眼皮及眼袋手術打造明亮雙眼 讓你開運過好年
https://lrclinic.pixnet.net/blog/post/26034584-%e5%84%b7%e4%ba%ba%e8%a8%ba%e6%89%80%e9%8d%be%e7%ab%8b%e4%ba%ba%e9%86%ab%e5%b8%ab%e5%b0%88%e6%a5%ad%e9%9b%99%e7%9c%bc%e7%9a%ae%e5%8f%8a%e7%9c%bc%e8%a2%8b%e6%89%8b%e8%a1%93%e6%89%9321)微整形後還可以割雙眼皮嗎?談術前微整形對上下眼皮整形手術的影響https://lrclinic.pixnet.net/blog/post/5899008422)「為什麼我割雙眼皮後雙眼皮還會掉?」專業醫師談雙眼皮術後鬆脫https://lrclinic.pixnet.net/blog/post/63686593 23)雙眼皮重修一定要等半年? 整形專科醫師談雙眼皮手術後之重修時機https://lrclinic.pixnet.net/blog/post/6782971324)眼皮下垂或是眉壓眼怎麼辦?專業醫師告訴你前額拉皮與眉切手術的不同https://lrclinic.pixnet.net/blog/post/8139138425)雙眼皮手術要如何設計才適合自己?專業醫師談如何量身訂製雙眼皮https://lrclinic.pixnet.net/blog/post/10046546026)多眼皮怎麼辦?談多眼皮的成因與相對應處理https://lrclinic.pixnet.net/blog/post/60935668 27)割雙眼皮後掉了怎麼辦?專業醫師解析原因與修復對策https://lrclinic.pixnet.net/blog/post/184890055 28)雙眼皮手術要縫,要割還是做半割半縫?該怎麼選擇呢?https://lrclinic.pixnet.net/blog/post/183798430 29)上眼皮凹陷就一定要補脂? 等等!https://lrclinic.pixnet.net/blog/post/181435576 30)怎麼判斷要不要做提眼瞼手術?由專業醫師解答https://lrclinic.pixnet.net/blog/post/176357143 31)有高低眉該怎麼辦? 先調整眉毛呢?還是先做雙眼皮?專業醫師授改善方式https://lrclinic.pixnet.net/blog/post/164643289 32)眼瞼下垂該怎麼處理? 專業醫師談內開或外開提眼瞼如何選擇https://lrclinic.pixnet.net/blog/post/15927518833)眼皮下垂怎麼辦?要選擇雙眼皮手術?還是提眉,眉切或前額拉皮手術呢?專業醫師為您解答https://lrclinic.pixnet.net/blog/post/15064499234)雙眼皮太高有辦法補救嗎?讓專業醫師告訴你https://lrclinic.pixnet.net/blog/post/11779710135) 雙眼皮手術後雙眼皮變窄怎麼辦?專業醫師談補救方法!https://lrclinic.pixnet.net/blog/post/123303412 -
Q:請問割雙眼皮會痛嗎?要打麻醉嗎?
是不是真的要半年才會比較自然一點?
A:割雙眼皮一般只有在眼皮打麻醉藥的時候有點痛,對於怕痛,容易緊張的病人我們有幾種方式可以減輕病人疼痛 :
(1) 我們使用最細的針,用最慢的速度施打麻醉藥。
(2) 如果是很容易緊張的病人,打一點鎮定止痛藥,可以讓你輕鬆度過手術。
雙眼皮恢復自然的時間每個人之間會有差異,一般在一至三個月即可。雙眼皮穩定的時間在三至六個月。
Q:我本來就有雙眼皮,可是眼皮泡泡的,可以只做眼皮抽脂嗎?
A:會造成眼皮泡泡的因素有好幾個,我們的眼皮脂肪就有好幾層,並不是每一層脂肪都可以在手術時拿掉,
而且脂肪常常是造成泡泡眼的小原因。過去的經驗告訴我們,只做眼皮抽脂的病人,術後會覺得效果不大,
因為抽脂手術只改善眼皮泡泡其中一部份因素而已(好些因素不是手術時可以改變的)。
我們會建議病人雙眼皮可以做高一點(泡泡眼皮的病人雙眼皮是內雙的)加上抽脂,整體效果會比較好。
Q:請問因為我睫毛倒插,眼睛整天都紅紅腫腫的,診所醫生建議我去割雙眼皮,但是我只是國中生,不知道可以割嗎?
A:睫毛倒插時做雙眼皮可以得到改善。因為還未成年,需得到家長同意才可以做手術(若眼睛症狀很明顯,家長應該會同意)。
Q:請問幾歲可以做雙眼皮手術,如果年紀太小會因為臉型還沒固定而造成雙眼皮變形嗎?
A:到底最小幾歲可以做雙眼皮手術?聽說有人在美國唸國小,利用放假回台灣做雙眼皮手術,因為在美國周圍的人都是雙眼皮而且單眼皮看起來比較沒精神。
個人則認為高中以後再考慮比較好,一則臉型比較成熟,二則心智比較成熟,當然必須與家長好好溝通,家長同意才行。目前衛福部規定是18歲以下不可以做整形手術。滿二十歲才可以自己簽手術同意書。
Q:請問割雙眼 術後要注意什麼?是不是1個月不能上班?我是內雙,能割嗎?
A:割雙眼皮的術後照顧很簡單: 傷口保持乾燥、上藥膏、冰敷、等時間到了來拆線。
對病人而言,外觀上影響比較大是前三天,第四天開始消腫,1至2週就自然很多。內雙也可以割雙眼皮加高雙眼皮。
Q:請問本來就有內雙的話可以做雙眼皮手術嗎?我的眼睛是有時候眨眨眼睛就會有雙眼皮出現的那種。
A:內雙做成外雙,眼睛看起來會較明亮。做法與單眼皮的人做雙眼皮相同(割的或縫的)。
但有些人的雙眼皮卻不容易做成外雙,例如泡泡眼或眼窩深的人,所以請來院評估。
Q:我想請問一下割雙眼皮縫合後卻是大小眼,是否拆線後也是大小眼呢?
A:割雙眼皮後的不對稱有可能是暫時的,因為手術造成二側的組織腫漲不同所致。
組織恢復的時間要三至六個月。有沒有對稱要恢復後才可以斷言。
Q:割完雙眼皮手術後要如何保養?才可以使疤痕變小,可以使用市面上賣的抗疤乳嗎?還是需要再熱敷嗎?
A:雙眼皮的疤痕一般會癒合到看不太出來(不須特別保養),即使是身體其他部位容易長疤痕的人。
術後不須要用消疤膏、矽膠片等產品。
Q:我今年25歲割完雙眼皮後覺得眼尾還是下垂要如何改善呢?要做提眼瞼的手術嗎?
可是我的眼皮已經有拿掉一些了,可以針對眼尾做改善嗎?
A:割完雙眼皮之後眼尾下垂的原因有幾種,有些人是單純的眼尾眼皮下垂(需拿掉外側眼皮),有些人是因為內側脂肪萎縮,內側雙眼皮會往上移,外側雙眼皮就顯得下垂(須補充內側脂肪),有些人須做眼瞼手術。希望妳來院評估。
Q:請問什麼是泡泡眼?割雙眼皮有可能失敗嗎?失敗了能補救嗎?
A:所謂的泡泡眼是指眼皮看起來厚厚的,原因有: 眼皮皮膚的厚度較厚、脂肪較厚、或眼皮有下垂現象等。
雙眼皮手術在有經驗醫師執行下失敗機會很低,如果發生可以補救。看診時手術時醫師會與妳好好溝通,讓妳對手術有個合理期侍。如期侍太高,就易失望。
Q:請問割雙眼皮可以維持多久?
A:沒有整形手術是永久的,因人會慢慢老化。割雙眼皮一般會維持到妳年紀大了,雙眼皮高度會下降。
眼皮泡泡的人,即使是割的,也有少數雙眼皮掉的狀況。
Q:請問所謂「無痛整形」是注射麻藥嗎?還是吸入的?
我想到貴診所縫雙眼皮,但我非常怕痛又容易緊張,想要無痛整形,請問無痛整形,麻藥會延長術後恢復的時間嗎?
A:所謂無痛整形(又稱舒眠麻醉)是指由靜脈打鎮定止痛藥。
眼皮的麻醉還是會打,但病人已經迷迷糊糊的,手術結束病人很快就醒來。做無痛不會影響恢復。
Q:聽說在雙眼皮手術後,在飲食上要避諱一些食物,如羊肉、海鮮類食品、辛辣食品等,是這樣嗎?
為什麼?如果是這樣,需要避諱多長時間?
A:一般我們建議病人在腫脹期(特別是前三天)少吃刺激的食物,如太辣的東西,因為它會讓水腫變得較厲害。
海鮮、羊肉沒有關係。
Q:請問一下我有蟹足腫體質,割雙眼皮有風險嗎?
A:沒看過有蟹足腫長在眼皮上,即使是有蟹足腫的體質的人也可以安心做割雙眼皮手術。
Q:請問我是眼皮下垂,所以眉毛看起來也很像掉下來一樣,如果做雙眼皮加抽脂的話 可以改善問題嗎?
A:眉毛下垂想改善最好的方法是前額拉皮(也就是提眉手術)手術,做眼皮手術是沒有辨法提高眉毛的。
Q:請問割雙眼皮的話,裡面的那條線需要拆嗎?
那如果要留的話,最好是用可吸收的線還是不可吸收的線呢?
A:割雙眼皮時除了最後將眼皮的傷口縫合的縫線外(需要拆線),裏面有一道縫線是為了製造雙眼皮的皺折用。
我們使用不可吸收線,不用拆線,非常少的人對縫線有異常反應。
Q:所謂割雙眼皮失敗,就是看起來很假,腫腫的,原因是什麼呢?因為割太寬嗎?
A:割雙眼皮後腫腫寬寬的原因有很多種,最主要的原因是手術時雙眼皮固定太高太深。
割雙眼皮要自然一定要找經驗豐富的醫師,可能的話看過醫師做過的病人。諮詢之後再把妳的雙眼皮交給他處理。Q:請問我想割雙眼皮,我的眼睛很無神,且眼尾是下垂的。我多年來都用雙眼皮膠,現在我的眼皮滿腫的,有時會腫到發紅。但都買藥擦後就好了,這樣去做手術會不會有什麼問題?
A:使用雙眼皮膠(膠帶或定型液),有部份的人會有對膠中的某一個成份產生過敏,引起皮膚炎(發紅,腫起來)。我們希望皮膚炎好了(最重要的是停止使用雙眼皮膠),再來開刀。如果妳使用雙眼皮膠會使妳的眼睛看起來更有精神,妳的眼睛又是泡泡的,妳應該考慮割雙眼皮,一勞永逸讓妳眼睛漂亮起來。
Q:請問我想割雙眼皮也想做眼睛雷射,是要先割好呢還是先雷射?如果先割要多久之後雷射?如果先雷射要多久之後才能割呢?
A:一般是建議病人雷射近視後半年可以做雙眼皮手術。
如果割雙眼皮手術先做,眼皮較消腫後可以做雷射近視手術,當然眼科醫師會再評估是否可以做近視手術了。
如果你有其他問題,可以寄到 service@LRclinic.com.tw 我們會儘快答覆你。有關手術費用的問題,因為採取的手術方式得看過診後才可以得知,請不要透過網路詢價。









