服務項目 》瘦小腿案例
案例介紹
文:鍾立人醫師

病例二:圖一術前病人蘿蔔腿小腿肚圓周為33公分,手術時內側腓腸肌拿掉30公克。圖二為術後六個月,蘿蔔腿圓周變為31公分。圖三為病人術前墊腳尖時照片。圖四為術後墊腳尖照片。小腿內側腓腸肌明顯變小。病人走路跳躍正常,疤痕則需更長時間才會消掉(中國人的四肢疤痕需一年以上才會消掉)。

病例三:下圖例是病人術前及術後二個月的照片,病人做完內側腓腸肌雕塑手術(一側內側腓腸肌拿掉110公克)及小腿抽脂手術(她同時也有小腿皮下脂肪層過厚的問題),小腿肚由38公分變成34公分。

病例四:下圖例病人接受內側腓腸肌、外側腓腸肌及比目魚肌三塊肌肉的雕塑手術(部份切除),內側腓腸肌一側拿掉100公克,外側腓腸肌及比目魚肌一側共拿掉60公克,除此之外病人皮下脂肪較厚,同時有做小腿抽脂手術。術後二個月( 以後小腿還會變細一點)病人的小腿變瘦了(小腿圍由38 公分變為34 公分)。因為三塊肌肉有做雕塑,小腿內側及外側曲線變漂亮了(神經切斷手術或肌肉全切除手術無法改變外側曲線)。

病例五:下圖的病例在半年前在他院做神經切斷手術,但病人覺得成效不彰。在本院實施腓腸肌雕塑手術(一側共拿掉六十五公克內側腓腸肌、外側腓腸肌及比目魚肌)後二個月,小腿圍由33.5公分變為31公分,病人很滿意術後結果。

病例六:下圖病例手術前小腿圍為40.5公分,手術時腓腸肌及比目魚肌一共拿掉160公克,抽脂一共400cc(以小腿而言這是不少的量)。手術六個月小腿圍變為35公分。

病例七:下圖病例術前小腿圍為36 公分,在做完內側腓腸肌部份切除手術後,小腿圍縮小為33公分。上圖為病人術後二年的照片。


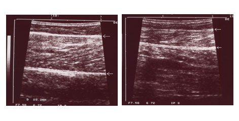
病例八:下圖病例術前小腿圍為36公分(左圖),做完腓腸肌及比目魚肌部份切除手術及小腿抽脂後三週,小腿圍已經變為32公分(右圖)。膝蓋後方的疤痕會漸漸變淡。下左圖是病人術前內側腓腸肌的超音波圖,二個箭頭間是內側腓腸肌,有二公分厚。
術後檢查內側腓腸肌變為一公分(下右圖)。


病例九:下圖病例術前小腿圍35公分,小腿外側曲線有明顯外凸的現象。在做完小腿肌肉雕塑手術(內側腓腸肌,外側腓腸肌及比目魚肌部份切除)一年半後,小腿圍變為32公分,小腿外側曲線也變直的多(改善外側曲線是其他手術方法做不到的,甚至做完切神經手術後或是肌肉全切除手術後有可能會因為肌肉代償性肥大的關係,小腿外側曲線會更外凸。)


病例十:下圖例術前雖然小腿內側沒有太大凸起,小腿外側,特別是小腿外下方因為脂肪累積關係較鼓出去,病人術前的小腿圍是34公分。病人接受肌肉部份切除手術後(包括內腓,外腓及比目魚肌)及小腿抽脂後一個月,小腿圍已減為30公分,小腿外側曲線往內縮後小腿看起來更袖珍。往後小腿仍會持續變小。

病例十一:


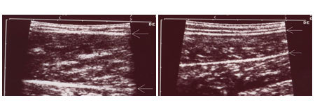
上圖例術前小腿圍為37公分,在做完小腿肌肉雕塑手術後(部份切除內腓,外腓及比目魚肌),小腿圍在術後三週就已縮小為32公分,小腿的內外曲線變得更纖細。超音波檢查發現內腓的厚度(箭頭內為內腓)由術前的2.1公分變為1公分。


上圖是病人術後七個月後的追蹤照片,小腿已明顯變小,小腿圍由37公分變為32公分,疤痕會再慢慢變淡。
病例十二:

上病例術前的小腳圍是33公分,雖然小腿不算粗,但病人希望腿可以再更細一點。在做完小腿雕塑手術後(拿掉部份內腓,外腓及比目魚肌)後14個月,小腿圍縮小為30公分。不只小腿變細,外型仍維持好看的曲線,沒有肌肉代償的問題。
病例十三:


上圖例術前的小腿圍為33公分,病人希望小腿可以再小一點,在做完小腿肌肉雕塑手術(拿掉部份內腓,外腓及比目魚肌)後一個月,小腿圍已變為29.5公分,腿除了變細之外,小腿曲線也變得更平直。下圖是病人十六個月後回診的照片。
病例十四:

手術前可以看到病人在墊腳尖時,腓腸肌鼓起的非常明顯。在手術完九個月後(部份切除內腓,外腓及比目魚肌),病人墊起腳尖時小腿就不會看起來那麼肉肉的了。
病例十五:病人在二年前做過蘿蔔腿切神經手術,做完後小腿有變小,但近幾個月小腿有漸漸變回沒手術前的樣子。用超音波檢查可以發現內腓在墊腳尖時肌肉紋理角度仍有變大現象,也就是說內腓仍有收縮現象,可能是控制內腓的神經又長回去。
病人在做完肌肉雕塑手術(部份內腓,外腓及比目魚肌切除)後半年(右圖),小腿變小2公分,墊腳尖時小腿肌肉已經沒有那麼大塊,小腿內外曲線也變漂亮。

病例十六:

病例十七:

病例十六及十七是接受內腓部份切除的病例,手術後半年可以看出小腿變小了,墊腳尖時內腓肌肉也沒有那麼大塊。
病例十八:

上圖病例在做完肌肉塑雕手術後八個月,小腿肌肉變得纖細。
病例十九:

上圖病例在做完內腓,外腓及比目魚肌部份切除手術後,小腿圍由36公分變為32公分。
病例二十:

經過小腿肌肉部份切除手術後,小腿圍由37公分縮小為32公分,小腿內外側曲線變得纖細。由上往下看可以看出縮小腿的效果。
病例二十一:

上圖例病人在做完小腿肌肉雕塑後,術後三週後小腿圍由術前的35公分變為30公分。
病例二十二:

上圖例病人在做完小腿肌肉雕塑手術後三個月,小腿圍由37公分變為32公分。
病例二十三:

上圖例是位男性做完腓腸肌手術後半年後的比較,小腿圍由39公分變為36公分,小腿外形改善得很明顯。
病例二十四:


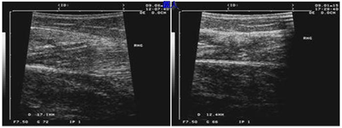
此病例在五年前曾做過小腿切神經手術,左側內腓有萎縮現象,但右側內腓沒什麼萎縮,可以由術前的超音波圖像看出左側內腓的肌肉紋理緻密,變成一片白色,厚度較薄。右側內側是正常的黑白紋理,厚度較厚。術前左側小腿圍是34.5公分,右側是35.5 公分。在我們診所做完小腿肌肉手術及小腿抽脂後小腿變為32公分。
病例二十五:


上例在學生時代是田徑隊隊員,在我們診所手術的病人中約有30%在學生時代是運動選手,雖然入社會後不太運動,但已經變大的小腿肌肉也不會變小。手術前小腿圍是37公分,肌肉看起來很肥大。手術後一年的追踨小腿圍變為32公分,小腿纖細多了。
病例二十六:


上例小姐小腿圍由35公分術後縮小為31公分,可以看到小腿明顯變小。
病例二十七:

上圖例小姐在做完小腿肌肉手術及小腿抽脂手術後五個月,小腿圍由36.5公分縮減為32.5公分。 這位小姐手術後一年回診,小腿仍保持纖細腿形,超音波檢查內腓的肌肉厚度由術前的21mm減為13mm,肌肉仍然維持功能。

病例二十八:


上圖例經過小腿肌肉手術及腳踝周圍及膝蓋內側抽脂手術後,小腿圍由34公分減至31公分,小腿變瘦很多。經過抽脂手術後,手術前看不太出來的阿基理氏腱變得容易辨識。
病例二十九:


上圖例內腓相當的肥大,但外腓及比目魚肌卻很正常,病人只希望將肥大的內腓做處理。將內腓肌肉做部份切除後三個月,小腿外形得到相當大的改善。超音波檢查看出術前的內腓厚度是16mm,術後厚度是11mm,5mm的厚度改變可以有效改變外形,但不會影響小腿功能。
病例三十:

上圖例是做肌肉雕塑手術術前與術後九個月的比較。
病例三十一:

上圖例是做完小腿肌肉雕塑後的比較照片,小腿圍由38公分縮小為33.5公分。
病例三十二:瘦小腿術後五年。

上圖例左圖是瘦小腿前(腿圍是34公分)。右圖是追踨5年後照片,腿圍一直保持在31.5公分。下左圖是術前右側腓腸肌超音波測量圖,腓腸肌厚度是17mm。下右圖是五年後超音波,肌肉厚度是12mm。這五年來小腿一直保持不錯狀態。

病例三十三:

上圖例術前小腿左腿腿圍39公分,右腿稍小是37公分。瘦小腿手術後五個月,兩腿腿圍變小為34.5公分。
病例三十四:


上案例右側圖是術後六年半的照片。可以看出小腿外形有明顯改變。
病例三十五:


右圖是術後半年的追踨照,小腿圍已由術前的37.5公分減為33公分,疤痕有轉黑現象,需要數個月以上時間消退。
病例三十六:


上案例圖是術後三個月的追踨照,小腿圍已由36.5公分縮為33公分,小腿外形有明顯改善。
病例三十七:

上右圖是術後十個月的追踨照,小腿圍由35公分縮為32公分。
病例三十八:


這位小姐的術前腿圍是33公分,是很多小姐們心目中理想的腿形,但她想讓腿更細。右圖是術後七個月的照片。小腿圍變為29公分。
病例三十九:

上案例小姐曾在他院做過二次小腿切神經手術及打肉毒,因效果不彰來求診。術前腿圍是33.5公分,右圖是在本院做小腿肌肉部份切除手術後二年的追踨照,小腿圍為30公分,外形有顯改善。
病例四十:


上案例術前腿圍為38公分,術後三個月(右圖)的腿圍縮為33.5公分。外形有明顯改變。
病例四十一:


上案例曾在他院做過切神經手術,手術後過二年效果就不見了。她自十九歲起就開始小腿打肉毒桿菌。她希望小腿又細又直。術前的腿圍是32.5公分。右圖是術後四個月的追踨照,腿圍縮為30.5公分。外形有明顯改變。
病例四十二:

大部份來做瘦小腿的患者是女性,但少數男性會在意他的小腿肌突太明顯,如上圖這一位年輕人。左圖術前的腿圍有到40公分。右圖是術後一年半後的照片。小腿圍變為35.5公分,肌突明顯改善。小腿功能也與術前相同。
如果你有其他問題,可以寄到 service@LRclinic.com.tw 我們會儘快答覆你。有關手術費用的問題,因為採取的手術方式得看過診後才可以得知,請不要透過網路詢價。









